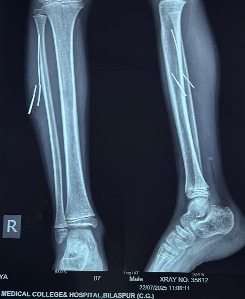
सिम्स में ऑपरेशन के दौरान सोनोग्राफी की मदद से निकाले गए लोहे के चार तार ,10 वर्षीय बालक के पैर दर्द से मिली राहत ।
बिलासपुर, 30 जुलाई 2025 / सिम्स बिलासपुर ने चिकित्सकीय क्षेत्र में एक और महत्वपूर्ण उपलब्धि दर्ज की है। रेडियोलॉजी विभाग और सर्जरी विभाग के संयुक्त प्रयास से ऑपरेशन के दौरान सोनोग्राफी की मदद से एक 10 वर्षीय बालक के पैर में फंसे लोहे के चार तार को सफलतापूर्वक निकाला गया।
लमेर निवासी 10 वर्षीय आदित्य खांडे पिता दीप कुमार लगभग चार माह पूर्व साइकिल चलाते समय दुर्घटनाग्रस्त हो गया था। हादसे में साइकिल का टायर फटने से बाहर निकला लोहे का तार उसके दाहिने पैर में घुस गया। तार पैर में टूटकर अंदर फंस गया और चार टुकड़ों में लगभग 2 से 5 सेमी लंबाई में मांसपेशियों में धंस गया। इसके बाद बच्चे को लगातार सूजन और दर्द की शिकायत बनी रही।

तीन दिन पूर्व परिजन उसे सिम्स के सर्जरी विभाग में लेकर पहुंचे, जहां सर्जन डॉ. बी.डी. तिवारी ने जाँच करवाई। एक्सरे और सोनोग्राफी से यह पुष्टि हुई कि तार पैर की मांसपेशियों में गहराई तक धंसा हुआ है, और अंदर ही अंदर मवाद बन चुका है।
स्थिति की गंभीरता को देखते हुए डॉ. ओ.पी. राज एवं डॉ. बी.डी. तिवारी ने ऑपरेशन का निर्णय लिया। परंतु ऑपरेशन के दौरान चीरफाड़ को न्यूनतम रखने और तारों की सटीक जगह जानने के लिए रेडियोलॉजी विभाग की मदद ली गई। विभागाध्यक्ष डॉ. अर्चना सिंह के निर्देशन में असिस्टेंट प्रोफेसर डॉ. अमन अग्रवाल ने ऑपरेशन थिएटर में ही लाइव सोनोग्राफी के माध्यम से लोहे के तारों की सटीक स्थिति चिन्हित की। इसके आधार पर सर्जनों ने बहुत ही कम चीरफाड़ कर सफलतापूर्वक सभी चारो तारों को निकाल दिया गाया मेल सर्जरी वर्ड मे इलाज जारी है

इस जटिल ऑपरेशन में सर्जरी विभागाध्यक्ष डॉ. रघुराज सिंह, एनेस्थीसिया विभागाध्यक्ष डॉ. मधुमिता मूर्ति, डॉ. भावना रायजादा, डॉ. मिल्टन, डॉ. श्वेता कुजूर, और डॉ. मयंक अग्रे का सराहनीय योगदान रहा।
सिम्स के अधिष्ठाता डॉ. रमनेश मूर्ति और चिकित्सा अधीक्षक डॉ. लखन सिंह ने सभी चिकित्सकों की इस सामूहिक उपलब्धि की प्रशंसा करते हुए कहा,
> “दूर-दराज एवं ग्रामीण क्षेत्रों से आने वाले मरीजों के लिए आपकी चिकित्सीय निष्ठा और परिश्रम अनुकरणीय हैं। आपके समर्पण और सेवा भावना को संस्थान गौरव की दृष्टि से देखता है। इसी प्रकार आगे भी संस्था का नाम रोशन करते रहें।”

